
El cepillado de los dientes es una tarea rutinaria de la mañana para la mayoría de nosotros. Pero seamos honestos, en realidad no pasamos mucho tiempo en dar una buena limpieza a los dientes. Y es que por desgracia, los dientes son uno de los aspectos de nuestra salud más ignorados por muchos de nosotros.
Obviamente, cepillarse los dientes no es una actividad divertida; en especial, cuando estás en esa acogedora cama y no quieres salir de ahí. Por lo tanto, es normal que tengamos cuidado de nuestros dientes para hacer que estén en un estado saludable.
Y es entonces cuando llega el momento de poner a prueba a nuestros dientes, resulta que el helado está muy helado o el té muy caliente, y hacen daño los dientes. Pero eso realmente no es lo que ha pasado. La forma en que usamos la pasta de dientes y los enjuagues bucales que están llenos de productos químicos hacen que nuestros dientes y encías estén sensibles y erosionados.

¿Por que los dientes requieren una limpieza?
Comemos la mayor cantidad de alimentos procesados y de comida basura como nos es posible. Sin preocuparnos por los tipos de productos químicos que pueden haber estado presentes en los alimentos que hemos consumido. Esto termina al final con la introducción de capas químicas en nuestros dientes.
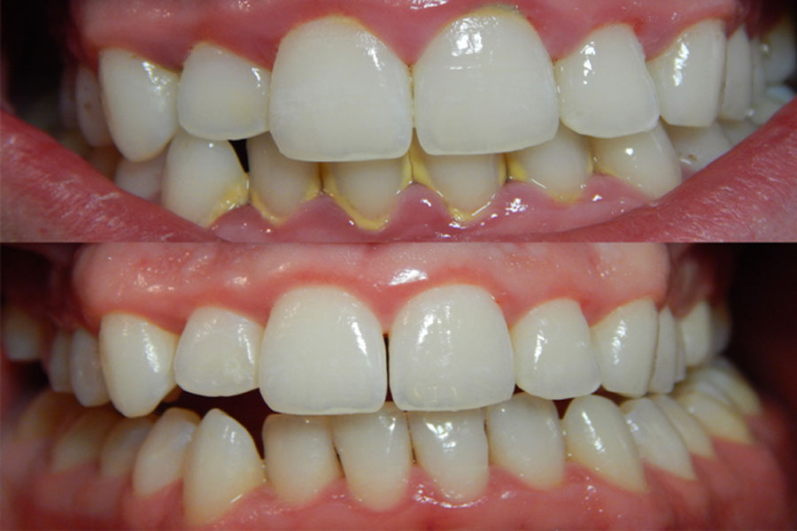
Después, un cepillado incorrecto puede hacer que las bacterias se instalen sobre los dientes. Y esto puede acabar en dientes coloreados de amarillo y también en mal olor. Ambos aspectos son igualmente molestos.
Por eso, el uso de una pasta de dientes y enjuague bucal no son suficientes.
A continuación presentamos una raíz que hará maravillas en tus dientes.
El método natural es el mejor método. Así que hemos traído una raíz fantástica que respalda esa palabra. Por si tienes alguna duda, hay suficientes investigaciones realizadas sobre la capacidad de esta raíz.
Bueno, el nombre de la raíz es regaliz. Y es que esta raíz contiene un compuesto llamado trans-chalcona. Así que si deseas tratar los dientes de una manera agradable y natural, disfruta de masticar regaliz, que es rico en trans-calcona.
¿Cómo funciona realmente esta raíz?
Por lo general, las bacterias presentes en la boca actuan sobre los azúcares y los convierten en ácidos que agreden en gran medida a tus dientes. Cuando se utilizan pastas de dientes y enjuagues bucales que están llenos de toda clase de sustancias químicas, esto se agrava enormemente causando mal olor y el color amarillo de los dientes.
La trans-chalcona realmente funciona reduciendo las bacterias presentes en la saliva. Hay unos tipos especiales de bacterías que son las responsables de todo el mal que se genera en los dientes. Por lo tanto, las enzimas en la saliva que estimulan el crecimiento de las bacterias mueren gracias a esta raíz.
Esta raíz puede no garantizar un aliento fresco, pero puede mejorar en gran medida la eliminación del mal olor.
Muchos investigadores están actualmente atentos en la introducción de este compuesto en productos de salud oral. Aunque los beneficios están todavía en duda. En cualquier caso, masticar la raíz de regaliz puede ser de gran ayuda. Esta tiene buen sabor y también te ayuda a cuidar tus dientes de la mejor forma posible.
