
Historias y noticias virales de Higiene


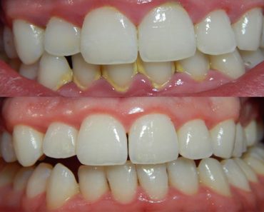
Limpia el sarro, elimina placa y destruye bacterias del mal aliento con este ingrediente

Por qué tienes que dejar de poner papel higiénico en los baños públicos inmediatamente

Este hombre no se ha bañado en 60 años… Pero esa no es la parte más inquietante de su historia

Limpiarás tus oídos cuando veas la monstruosidad que sacaron de los de esta mujer

